[공부] 초음파 실습
장소 : 매달 1번 전남 전역 (댓글로 신청 희망)
시간 : 수요일 오후 (조정 가능)
주제 : RMSK 대비 + 개별 희망 부위
* RMSK 보유자 2명이 전남 내 동일 군 혹은 시에서 최소 2명 인원 신청 시 해당 지역으로 방문하여 함께 실습 진행 예정입니다
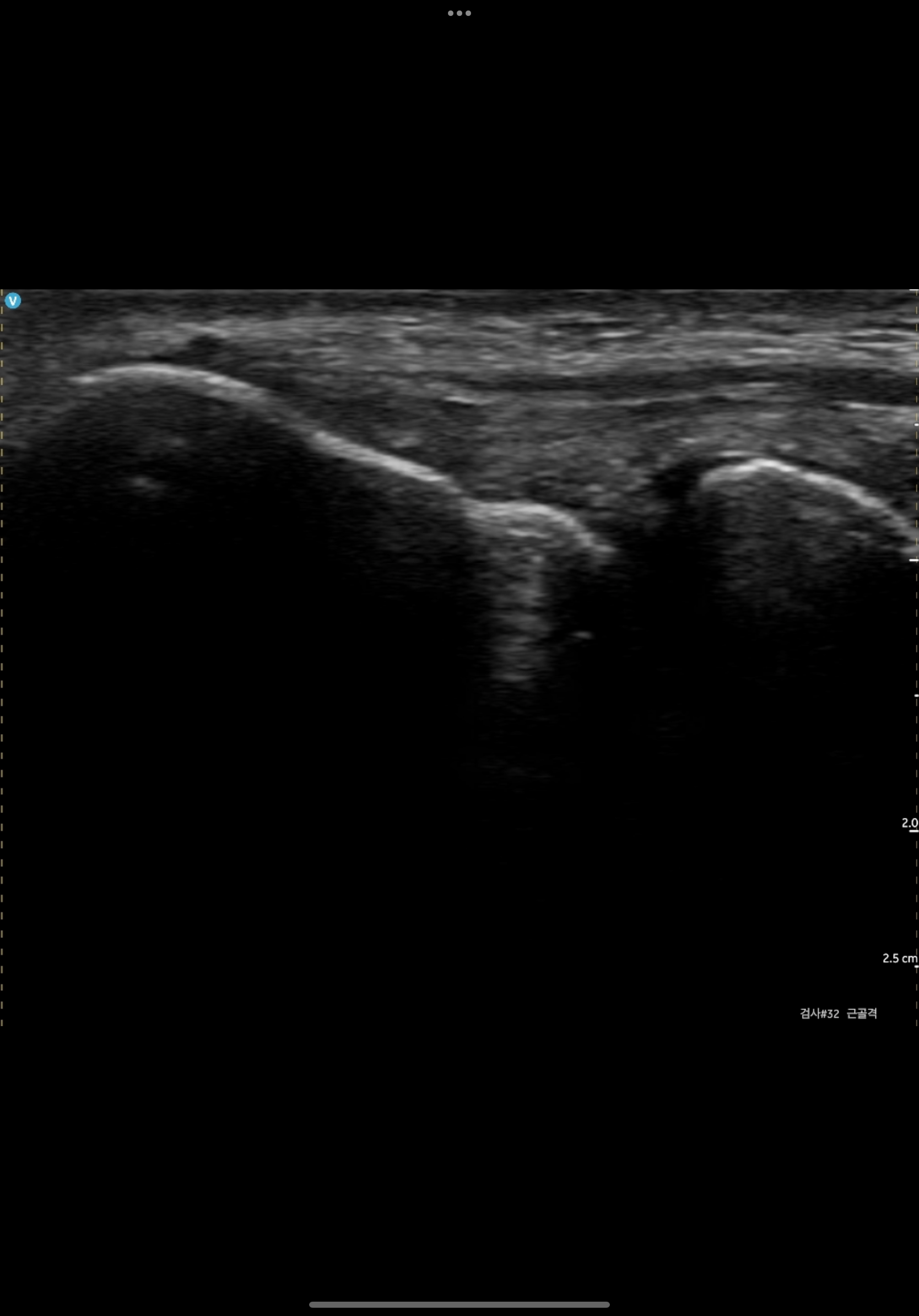
예시 1.Elbow ( 캡쳐 화면 )
예시 2.ANKLE - ATFL ( 캡쳐 화면 )
@2024 JN In. All rights reserved.
INFORMATION
NEWS LETTER
소개 및 일정
공지글 및 익명 게시판
JN In 검증 맛집
커뮤니티 - 학술
커뮤니티 - 여가 (스포츠, E-스포츠)
마켓 플로리다
정상적으로 접수되었습니다
@2024 JN In All rights reserved.
[공부] 초음파 실습
장소 : 매달 1번 전남 전역 (댓글로 신청 희망)
시간 : 수요일 오후 (조정 가능)
주제 : RMSK 대비 + 개별 희망 부위
* RMSK 보유자 2명이 전남 내 동일 군 혹은 시에서 최소 2명 인원 신청 시 해당 지역으로 방문하여 함께 실습 진행 예정입니다
예시 2.ANKLE - ATFL ( 캡쳐 화면 )